審美歯科
中野セントラルパークデンタルオフィスの審美歯科
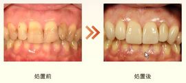
審美歯科はただ歯を白くする治療とは異なります。
色を白くするだけでなく、歯茎の形や歯並びなど、様々な面を考慮し、健康的で美しい口元を手に入れて頂くお手伝いをしています。
ホワイトニング (歯を白くする治療)
ホワイトニングとは、広い意味では歯を白くする歯科治療を指します。
通常の歯磨きでは落としきれない汚れを落とし、歯を白くしていきます。
多くの歯科医院で行われているホワイトニングは「ブリーチング」が多いといわれていますが、これは歯を一切削らず歯の表面についている着色有機物を分解・漂白し歯を白くする技術です。歯を削ることのない治療方法なので、痛みを感じることはありません。
また定期的に歯科医院に通うホワイトニングと、自宅で行うホワイトニングがあるので、患者様のご要望や事情に合わせて治療を行っていく事ができます。
また医院に通うホワイトニングと、自宅で行うホワイトニングがあるので患者様の要望や事情に合わせて治療を行っていく事が出来ます。
ホワイトニングの治療について
| 種類 | 特長 | 持続期間 |
|---|---|---|
|
医院で行うホワイトニング 【オフィスホワイトニング】 |
即日効果を感じることのできるホワイトニングなので、結婚式などの重要なイベントが迫っている方にお勧めです。 持続期間は患者様によって様々ですが短い患者様で3か月、長くて約1年程持続します。 |
3~12か月 |
|
自宅で行えるホワイトニング 【ホームホワイトニング】 |
自宅で行う事が出来る。 オフィスホワイトニングに比べ効果が表れるまでに時間がかかる。忙しくて歯医者に行く時間がない。 歯は白くしたいが急いではいない。 という患者様におすすめのホワイトニング。 医院で治療を行うオフィスホワイトニングと違い、個人で行うため効果が表れるのが遅く、一定期間治療を続ける必要がありますが効果の持続性に優れています。 |
12~24か月 |
ラミネートべニア
歯を半永久的に白くする治療です。
歯の表面を少し削り、削った部分に薄いセラミックを張り付けます。
歯を削る必要があるので歯科医師と十分に話し合う必要があります。
エアフロー
ウォータースプレーを用いて歯の表面の汚れを取り除く治療です。 通常の歯磨きでは綺麗にするのが難しい箇所の汚れも効果的に除去することができるので、効果的に歯周病や虫歯の予防をすることができます。
ダイレクトボンディング (詰める治療)
【ダイレクトボンディングのメリット】
・歯をほとんど削らず治療を行える。
・本来の歯に近い自然な白。
・本来の歯に近い固さなので周辺の歯を傷めない。
・万が一破損をしても修復が簡単。
・セラミックを使った治療よりも安価に行う事ができる。
・比較的、治療期間が短期間。
また医院に通うホワイトニングと、自宅で行うホワイトニングがあるので患者様の要望や事情に合わせて治療を行っていく事が出来ます。
ボンディングの種類
| 種類 | 概要 | 特徴 |
|---|---|---|
| コンポジットレジン | 治療などで穴の開いた歯に歯科用のプラスチックを詰める治療です。 |
・保険適用内なので自費に比べ安価である。 ・非金属なので金属アレルギーの患者様でも安心。 ・審美的な効果も期待できる。 |
| セラミック配合ハイブリットレジン | 歯科用のプラスチックにセラミックを配合したより本来の歯の強度に近い詰め物。 | ・セラミックのみでは固すぎて周囲の歯を痛める恐れがあるが、歯科用のプラスチックと配合することで従来の人の歯に近い強度になっている。 |
インレー (はめこむ治療)
インレーとは虫歯で削ってしまった部分に詰め物をして補う治療方法です。
虫歯が小さい場合は、むし歯部分のみを削り、インレーを詰める形で治療が終わる場合もあります。
しかし虫歯が大きい場合や、噛み合わせを悪くしてしまう場合は、クラウンという被せものを使った治療になる場合もあります。
インレーの種類
| 種類 | 概要 | 特徴 |
|---|---|---|
|
パラジウム合金 インレー |
奥歯に詰め物を行う際に主に活用されます。 | ・保険適用内なので自費に比べて安価。 |
|
ゴールド インレー |
ゴールドインレーは保険外の治療で主に使用されるインレーです。合金や白金加金で作られています。 |
・他の金属に比べ非常に錆びにくく、溶けない。 ・歯肉の変色や金属アレルギーなどの2次的な症状を防げる。 ・固すぎず、歯への負担が少ない。 |
|
ハイブリット セラミックス |
セラミックの粒子とレジンを混ぜた物で制作された詰め物。セラミックのみのインレーと比較して柔らかく、周囲の歯への負担が少ないのが特徴です。 |
・セラミックより強度があるため割れにくい。 ・しかし固すぎないため周囲の歯を傷つけない。 |
|
オール セラミックス |
素材が100%陶器なので非常に強度があります。また吸水性が皆無なので、長期間使用しても変色をせず綺麗な状態を保ちます。 |
・全体が作り物なので見た目が良く、審美的な効果が高い。 ・ハイブリットセラミックスに比べ割れやすい。 ・ほとんど色が変わることが無い。 ・歯垢が付きにくく汚れづらい。 ・金属が溶けることによっておこる歯肉の変色などの2次的な問題を防げる。 |
クラウン (被せる治療)
クラウン (歯に被せる治療)
クラウンとは虫歯などが原因で大きく破損してしまった歯の機能や形を補うための、人工の歯の被せものです。
比較的大きな虫歯を治療した後や、根管治療をした後などは、このクラウンによる治療となる場合があります。
また前歯や奥歯など歯の治療箇所によって治療内容も異なりますので、治療をご希望の方は一度ご相談下さい。
クラウンの種類
| 種類 | 特徴 |
|---|---|
|
銀歯 (パラジウム合金) |
・保険適用のため安価 |
| ゴールドクラウン |
・口内でも錆びにくいので長持ちしやすい。 ・金属が溶けることによっておこる歯肉の変色などの2次的な問題を防げる。 |
|
ハイブリット セラミックス |
・セラミックより強度があるため割れにくい。 ・しかし固すぎないため周囲の歯を傷つけない。 |
| オールセラミックス |
・全体が作り物なので見た目が良く、審美的な効果が高い。 ・ハイブリットセラミックスに比べ割れやすい。 ・ほとんど色が変わることが無い。 ・歯垢が付きにくく汚れづらい。 ・金属が溶けることによっておこる歯肉の変色などの2次的な問題を防げる |



